Funduskamera

iCare DRSplus

TrueColor konfokální systém pro zobrazení fundu

iCare DRSplus,  - zvětšit obrázek

Klíčové vlastnosti

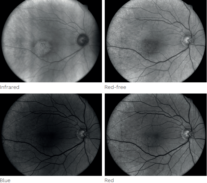
  • Konfokální technologie TrueColor
  • Více způsobů zobrazování, včetně zobrazování bez červené barvy, zobrazení oka zvenčí a stereopohledu
  • Minimální velikost zornice 2,5 mm
  • Rychlé, snadné a plně automatizované focení
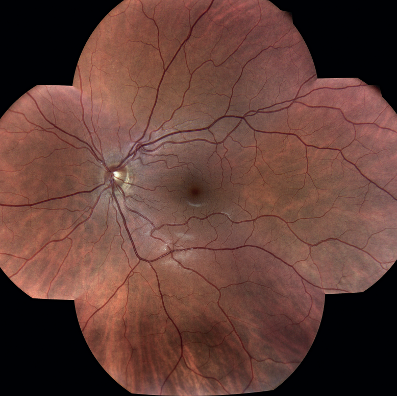
  • Funkce mozaiky vytváří panoramatické zobrazení sítnice až do úhlu 80°
  • Vzdálený prohlížeč umožňuje prohlížení z více zařízení
  • Funkce vzdáleného vyšetření umožňuje provádět vyšetření na dálku

Systém iCare DRSplus pro zobrazování fundu s konfokální technologií TrueColor

Konfokální systém pro zobrazování fundu iCare DRSplus využívá bílé LED osvětlení a nabízí vysoce kvalitní snímky TrueColor. Technologie TrueColor Confocal, která je považována za standard vysoké kvality obrazu, poskytuje snímky bohaté na detaily s větší ostrostí obrazu, optickým rozlišením a kontrastem ve srovnání s tradičním zobrazováním fundus kamerou.

Rychlý a plně automatizovaný přístroj iCare DRSplus umožňuje zobrazování přes zornice o velikosti pouhých 2,5 mm bez nutnosti rozkapání, což zajišťuje pacientům komfortní vyšetření. Tento snadno použitelný přístroj nabízí výhodu rychlého vyšetření a pomáhá urychlit pracovní postupy na klinikách.

Profesionální servis

Náš tým vyškolených servisních techniků zajišťuje technické poradenství, instalaci přístrojů u zákazníka po koupi i při ukázkovém provozu, záruční i pozáruční servis, rezpečnostně technické kontroly dle platné legislativy, zaškolení obsluhujícího personálu...