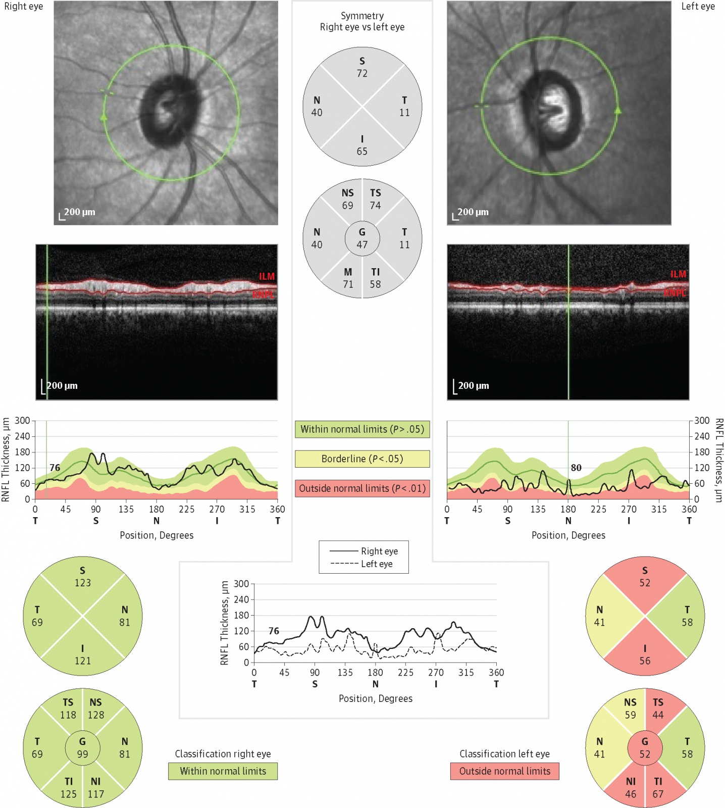
OCT

Heidelberg Spectralis

NOVINKA

Nejkomplexnější diagnostický přístroj pro zobrazování sítnice, zrakového nervu a předního segmentu oka.

Heidelberg Spectralis, NOVINKA - zvětšit obrázek
Heidelberg Spectralis

Spectralis disponuje unikátními systémy pro zvýšení kvality a konzistence měření jako jsou:

  • Aktivní EYE TRACKING v reálném čase- Zajišťuje kompenzaci pohybu očí, pohybových artefaktů ve snímku a automatické optické ukotvení snímku pří následných ( follow up) vyšetřeních
  • Technologie redukce šumu

Spectralis HRA

Laserový konfokální angiografický skenovací systém umožňující následující zobrazení:

  • Fluoresceinová angiografie (FA)
  • Indocyaninová angiografie (ICGA)
  • Autofluorescence fundu (BAF)
  • Infračervené zobrazení fundu (IR)
  • „red free“ zobrazení (RF)
  • Multicolor zobrazení ( unikátní technologie snímání fundu 3mi laserovými paprsky)
  • Možnost snímky jednotlivých funkcí porovnávat a zobrazovat zároveň

Spectralis OCT

Jedná se o optický koherentní tomograf, který umožňuje vysokorychlostí snímání struktur oka s vysokým rozlišením a vysokým prostorovým kontrastem.

  • OCT řezy s libovolně nastavitelnou orientací a hustotou
  • OCT angiograii
  • Infračervené reflexní zobrazení
  • Multicolor zobrazení
  • Autofluorescenční zobrazení fundu (BAF)
  • Vzájemné kombinace jednotlivých modalit

Spectralis HRA+OCT

Kombinuje zobrazovací modality přístrojů Spectralis HRA a Spectralis OCT do jednoho zažízení

Profesionální servis

Náš tým vyškolených servisních techniků zajišťuje technické poradenství, instalaci přístrojů u zákazníka po koupi i při ukázkovém provozu, záruční i pozáruční servis, rezpečnostně technické kontroly dle platné legislativy, zaškolení obsluhujícího personálu...